【https://akazonae.jp/】の記事が検索で表示されにくいので直接ブックマークしていただければ幸いです。【Please Bookmark of this website.】『https://akazonae.jp/では一切の責任を負えませんので必ず自己責任でお願いします!』『https://akazonae.jp/ shall not be responsible for any loss, damages and troubles.』『This could be really good if it succeeds, but do it at your own risk.』《何か問題がある場合はご連絡ください。》《Please let me know if you have any problems.》❝Saving and reprinting photos (include screenshot) without my permission is prohibited.❞{私の許可なく写真(スクリーンショット含む)を保存・転載することを禁じます。}コンテンツまたはその一部を許可なく転載することを禁止。Reproducing all or any part of the contents is prohibited.

☠️精子提供者の問題点と💉コロナワクチン接種者の精子☠️

🫃男性不妊・Male Infertility🫃
https://www.100hdwallpapers.com/surrealism_dark_hell_stairs_4k_hd-hd_wallpapers.html

https://akazonae.jp/】の記事が検索で表示されにくいので直接ブックマークしていただければ幸いです。

【Please Bookmark of this website.】

https://akazonae.jp/では一切の責任を負えませんので必ず自己責任でお願いします!』

https://akazonae.jp/ shall not be responsible for any loss, damages and troubles.』

『This could be really good if it succeeds, but do it at your own risk.』

《何か問題がある場合はご連絡ください。》

《Please let me know if you have any problems.》

・画像はサムネイルと説明(修正)にのみ使用しました。もし削除を希望される方がいらっしゃいましたら、ご連絡ください。

・I used the image only for the thumbnail and explanation (revise). However, if anyone demands to delete, please contact me.

・すぐ対応させていただきます。

・I will do so immediately.

・許可なく写真(スクリーンショットを含む)の無断保存・転載することを禁止。

・Saving and reprinting photos (include screenshot) without my permission is prohibited.

・コンテンツまたはその一部を許可なく転載することを禁止。

・Reproducing all or any part of the contents is prohibited.

私は新型コロナワクチン/mRNA型生物製剤mRNA vaccine遺伝子ワクチン)が人類初ワクチンであり、新型コロナワクチン/mRNA型生物製剤mRNA vaccine遺伝子ワクチン)添付文書【特例承認/長期安定性に係る情報が限られている/製造販売後も引き続き情報収集中に記載された内容を考え接種により感染重症化が防げたとしても自分自身にどう影響するのか情報が限られているため非接種unvaccinatedを選択しました

・接種は個人の自由(It’s up to the individual.)。

・偏ることなくいくつもの情報を集めて判断してください(We need to collect information.)。

・2019年より、新型コロナウイルスSARSCoV/感染症:COVID19>が世界的流行pandemic】しました。

新型コロナワクチン/mRNA型生物製剤mRNA vaccine遺伝子ワクチン)の緊急使用許可特例承認が下りたことで、多くの人々が救われたことと思います。

現時点(首相官邸/新型コロナワクチンについて)で、日本国民の8割以上(12歳~19歳の方、70%以上/20歳以上の方、80%以上が2回接種完了/20歳以上の方、50%以上が3回接種完了者)が新型コロナワクチン/mRNA型生物製剤mRNA vaccine遺伝子ワクチン)を接種してます。

・接種したくなくても、同調圧力peer pressure)により接種された方も多いと思います。

新型コロナワクチン/mRNA型生物製剤mRNA vaccine遺伝子ワクチン接種によりmRNAが人間の遺伝情報/DNAに入り込む逆転写可能性が示唆されており生まれてくる子どもに遺伝する可能性があります

新型コロナワクチン/mRNA型生物製剤mRNA vaccine遺伝子ワクチン非接種者は少数です。

生殖細胞は遺伝します

逆転写は精子細胞で顕著です。

・一定数の方が、新型コロナワクチン/mRNA型生物製剤mRNA vaccine遺伝子ワクチン非接種者の精子を求めていることも確かです。

🈲悪用厳禁🈲
🈲妊娠を望む方を騙す行為は最低🈲

何らかの事情で妊娠することが難しい方に向けて【第三者卵子提供者/第三者精子提供者】について簡潔にまとめます。

・善意を装う性行為目的(精子提供によるタイミング法において素性不明な相手との性交渉は女性側にとって苦痛そのものです)。

・精子提供を希望する女性は多くの危険が潜んでいることを考えなければなりません。

・身元を明かさない提供者/ドナーの場合、遺伝子疾患や感染症のリスクもあります。

・身分/経歴/学歴などの詐称偽造代行がインタネット上で横行しており、偽造も可能ですので注意が必要です(偽造代行業者と検索すればヒットします)。

スクリンショットの偽造も可能ですので注意が必要です(詐欺グループが資産偽造に悪用)。

・非配偶者間人工授精(AID)、非配偶者間体外受精(IVF)は婚姻していることが条件です(選択的シングルマザー、レズビアンカップルの方は認められてない)。

精子又は卵子の提供による体外受精に関する JISART ガイドライン

(見やすくするため修正を加えてます/modified version)

不妊治療は保険適用となった2022年/令和4年4月から、年齢制限と回数制限が設けられてます(source/不妊治療が保険適用)。

https://www.mhlw.go.jp/content/leaflet202212ver2.pdf

(見やすくするため修正を加えてます/modified version)

高齢出産(source/35歳以上での初産と定義)となると現実問題として妊娠率が低下することがあります。

https://www.jaog.or.jp/all/document/54_120509.pdf

(見やすくするため修正を加えてます/modified version)

・40歳以上の女性は年齢制限があること、重くのしかかる金銭的負担から状況は厳しいと言わざるを得ないと思いますが、40歳以上女性でも子どもを持つ夢を叶えた方も居ます

・ここ数年で不妊の原因が女性側の問題だけでなく男性側にもあることが知られました。

・男性不妊=無精子症、非閉塞性無精子症、精子減少症、勃起不全(ED)などの問題があります。

・女性不妊=早期閉経、卵巣摘出などで排卵がなくなる問題があります。

日々の生活習慣で男性も女性も生殖能力低下問題にブレキをかけることはできると思います(同じ年代で規則正しい生活、バランスの摂れた食事、適度な運動をしている男性と女性、不規則不摂生な男性と女性で同じ妊娠率だとは思いません。もし、同じ妊娠率なら生活習慣の見直しなどの補助的アドバイスの必要性に疑問が生じます)。

食は人を良くすると書き運動は運が動くと書く

何らかの事情で妊娠することが難しい方は第三者卵子提供/第三者精子提供により妊娠を目指します。

卵子提供者とは、妊娠を希望する独身者またはカップル夫婦に卵子を提供する女性のことです

・卵子提供後、精子と体外受精技法により受精後、子宮内に受精卵(胚)移植→妊娠出産を目指します。

・精子提供とちがい医療機関でなければ対応することはできません。

・精子提供者とは、妊娠を希望する独身者またはカップル、夫婦に精子を提供する男性のことです。

人間に逆転写酵素が発見されたと証明されてます

逆転写活性は精子細胞で顕著であること、生殖細胞は遺伝します。

新型コロナワクチン/mRNA型生物製剤mRNA vaccine遺伝子ワクチン)接種者の体内から、毒物であるウイルス由来のタンパク質(スパイクタンパク質)を完全に除去することはできません。

・体内からワクチン成分を取り除くことは不可能です。

新型コロナワクチン/mRNA型生物製剤mRNA vaccine遺伝子ワクチン)は、ウイルス由来のタンパク質スパイクタンパク質を自身の細胞で産生するわけですから感染時と同様の症状が出ても不思議はないのです

・mRNA(メッセンジャーRNA)ワクチン→ウイルス由来のタンパク質(遺伝子)を体内で産生→異物認識→免疫反応の異常を起こす→産生している細胞が自身の免疫によって攻撃される自己免疫疾患が起こる(細胞破壊)。

・自己免疫疾患は遺伝する可能性があります。

精子提供者の一人である私は新型コロナワクチン/mRNA型生物製剤mRNA vaccine遺伝子ワクチン非接種者であり、遺伝子検査を受け開示しています(”About Me“参照)。

https://akazonae.jp/about-me/

🚨注意事項🚨

注意
https://akazonae.jp/】では責任を負えませんので必ず自己責任でお願いします。

・追加情報でアップデートされますが、修正箇所には日時を明記します(It was last updated on 〇〇th,〇〇〇〇.)。

・Updates will be made with additional information, and the date and time will be marked where it has been updated and corrected.

精子提供に潜む影🙅

第三者卵子提供者と第三者精子提供者では、圧倒的に精子提供者が多く存在してます。

・様々な精子提供サイトがありますが、無料サイトを使用していること(各種SNSの連絡手段は除く)、詳しく説明していないこと、ボランティアなので無償ですと謳ってますが、責任感はあるのか❓と疑問があります。

・デジタル化とは、限りなく0円を目指すものです。

・希望者からすると精子提供者を探すのに適してると思います。

アカウントの削除アカウントの新規作成も容易にできるので常にリスクが存在することも忘れてはなりません

無償提供ボランティアの方を否定するわけではありません

・『フリーランチは存在しない/ただより高いものはない』との表現があることも事実なのです。

【5回分プレゼント中】★ 【医師推奨】シリンジ法キット「プレメントシリンジ20回分」 妊活 タイミング法 日本製 不妊 妊娠 活動 精子 シリンジキット シリンジ セルフシリンジ法 男性 女性 妊活スタイル 妊活専門店

価格:8500円
(2024/5/5 17:33時点)
感想(1765件)

妊娠希望者が負うリスク😱

詐称問題

・疑い始めたらキリがないわけですが、世の中には【身分/経歴/学歴】など詐称して相手を騙す人が存在します。

・詐欺が筆頭に挙げられますが、【不倫(既婚者が関係をもつ)/浮気(パートナー関係にありながら関係をもつ)】などの異性間、精子提供者が虚偽を行い妊娠希望女性を騙します。

(見やすくするため修正を加えてます/modified version)

妊娠しやすい体作り pms 生理不順 サプリ 妊活サプリ pmdd 生理痛 不妊 ベルバランスホワイト 大豆イソフラボン 亜鉛 ビタミンE レッドクローバー チェストベリー ヒアルロン酸 送料無料

価格:2160円
(2024/5/5 17:33時点)
感想(153件)

・善意を装い、性的快楽を目的とする精子提供ボランティアの存在もあります(source5/善意装い本当は性交渉目的の男性も “精子売買”SNSで広がる実態と闇取引の背景/SNSで広がる精子「闇取引」の実態は? 日本初の精子バンクを設立した不妊治療専門医に聞く)。

善意装い本当は性交渉目的の男性も “精子売買”SNSで広がる実態と闇取引の背景 | AERA DIGITAL(アエラデジタル)
今、日本のSNSでは精子を売買するやり取りがあふれている。高学歴をうたい、提供の際には性行為をする場合もある。背景には、独身女性や同性カップルで子供を産みたい人が増えているという実情があった。精子…
SNSで広がる精子「闇取引」の実態は? 日本初の精子バンクを設立した不妊治療専門医に聞く | AERA DIGITAL(アエラデジタル)
無精子症などが原因で男性不妊に悩む患者の一助となることを目指し、日本初の精子バンク「みらい生命研究所」が埼玉県越谷市に設立され、今月から運営が始まる。研究所の代表取締役で、生殖医療を専門とする獨協…


・「女性からメールで出産報告を受けると、日本地図に印をつけていくんです。ここにひとり、ここにもひとり……と地図を眺めるのが楽しくて」…このような精子提供者も存在するのです😱(source6/彼女たちはなぜ第三者の精子で子供を産んだのか――無精子症の夫婦、選択的シングルマザー…それぞれの事情

彼女たちはなぜ第三者の精子で子供を産んだのか――無精子症の夫婦、選択的シングルマザー...それぞれの事情 - 社会 - ニュース
精子バンクの公的整備が遅れる日本で、医療機関を介さない個人ボランティアによる精子提供が急増している。精子ドナーたちを取材した前編に続き、後編では提供された精子で実際に子供を授かった女性たちが、その葛...


・日本国内で、精子提供によって生まれた子どもが、望んでいた特徴の人物精子ではなく、国籍から経歴まで虚偽だったことで訴訟に発展したケースも存在します(source7/精子取引トラブルで訴訟「京大卒独身日本人と信じたのに…経歴全部ウソ」精子提供者を女性が提訴 全国初か)。

精子取引トラブルで訴訟「京大卒独身日本人と信じたのに…経歴全部ウソ」精子提供者を女性が提訴 全国初か:東京新聞デジタル
会員制交流サイト(SNS)で知り合った男性から精子提供を受け、子を出産した東京都内の30代の女性が、男性が国籍や学歴を偽ったことで精神...


・訴訟に発展した女性の訴状に目を通すと、タイミング法の強要、タイミング法に関係ない性的快楽を求めるための行為もあったことが記載されてます。
・シリンジ法と約束していたにもかかわらず、SNS上で溢れる情報を駆使してタイミング法を強要してくる精子提供者も存在します(source8/【ワイドショー通信簿】SNSでの精子提供、事情はいろいろだが、リスクは覚悟しているのだろうか? 不妊に悩む夫婦、生々しい経験はなにを訴える…(スッキリ))。

エラー


・海外/オランダでは、偽名を使い国境を越えて精子バンクに登録して数百人の遺伝上の父親になり近親婚を防ぐため、訴訟になったケース(source9/精子提供で550人以上の父親に… オランダ裁判所、男性に禁止命令)。

エラー


・海外/イギリスでは、遺伝子疾患を隠して精子提供を行い、遺伝子疾患を受け継いだ子どもが生まれ訴訟に発展したケース(source10/A SPERM donor fathered 15 children to gay women without telling them he suffers from an incurable genetic condition.)。

Sperm donor fathered 15 without telling mums about incurable genetic condition
A SPERM donor fathered 15 children to gay women without telling them he suffers from an incurable genetic condition. Jam...


・遺伝子疾患を隠した精子提供を行い、訴訟に発展したケースでの精子提供者の言い分として”困ってる人を助けてるから善い行いをした“と主張し、被害者の怒りを買ったケース(source11/A SPERM donor who fathered 15 children without telling the mums he suffers from an incurable genetic condition has said he “did a good thing”.)。

Sperm donor with genetic condition who fathered 15 kids says he 'did a GOOD thing'
A SPERM donor who fathered 15 children without telling the mums he suffers from an incurable genetic condition has said ...


・海外/アメリカでは、IQ160以上、博士課程だと信じて精子バンクより購入したが虚偽であり訴訟に発展したケース(source12/THE parents of a teen with “serious mental problems” are suing a sperm bank after it was allegedly revealed their donor was a schizophrenic criminal.)。

Parents of 'mentally ill' teen to sue sperm bank as donor 'was schizophrenic'
THE parents of a teen with “serious mental problems” are suing a sperm bank after it was allegedly revealed their donor ...


・海外/アメリカでは、不妊治療クリニックで自身の精子を用いて患者を騙したケース(source13/Our Father)。

Watch 我々の父親 | Netflix Official Site
ひとりの女性が行ったDNA検査により判明した複数の異母きょうだいの存在。やがて彼女がたどり着いたのは、有名不妊治療医と精子提供をめぐる衝撃の事実だった。
医師が自分の精子で患者の不妊治療、生まれた子どもらが提訴
米アイダホ州で不妊治療を行っていた医師が、自分の精子を使って患者の女性を妊娠させたとして、この女性や生まれた子どもが医師と医療機関を提訴した。


・海外/オランダでも、不妊治療クリニックで自身の精子を用いて患者を騙したケース(source14/Dutch families win right to test DNA of sperm bank doctor/Dutch fertility doctor used own sperm to father 49 children, DNA tests show)。

Dutch families win right to test DNA of sperm bank doctor
The late doctor of a Dutch IVF clinic is suspected of fathering 60 children using his own sperm.
Dutch fertility doctor used own sperm to father 49 children, DNA tests show
DNA tests confirm doctor Jan Karbaat used his own sperm to impregnate women at his clinic.
医師が自分の精子で49人の父親に。不妊治療スキャンダルはなぜ頻発する? « 女子SPA!
「この子は自分と似てない」「私は親に似てない」「私はいったい誰の子なのだろう…」不妊治療スキャンダルが世界で話題になっています。先日、オランダの不妊治療クリニックの男性医師ヤン・カールバート氏が、患者に無断で自分の精子を使って体外受精を実施...

2024/4/21に追加しました(It was last updated on April 21th,2024)。

・SNSで広がる精子「闇取引」の実態は? 日本初の精子バンクを設立した不妊治療専門医に聞く

SNSで広がる精子「闇取引」の実態は? 日本初の精子バンクを設立した不妊治療専門医に聞く | AERA DIGITAL(アエラデジタル)
無精子症などが原因で男性不妊に悩む患者の一助となることを目指し、日本初の精子バンク「みらい生命研究所」が埼玉県越谷市に設立され、今月から運営が始まる。研究所の代表取締役で、生殖医療を専門とする獨協…

精子提供者が負うリスク

・【独占告白】「私の精子から97人子どもが生まれた」 米国人男性(33)が告発する精子バンクの実態

【独占告白】「私の精子から97人子どもが生まれた」 米国人男性(33)が告発する精子バンクの実態 | AERA DIGITAL(アエラデジタル)
生殖補助医療が進み、精子バンクや卵子凍結も一般的になってきた。そんななか、アメリカで学生時代に精子提供をした男性(33)の訴えが注目を集めている。自分の精子から生まれた子どもが100人近くいると知…
「私の精子でぼろ儲けしたのです」 97人の子が誕生 33歳白人男性の精子はなぜ「大人気」だったのか | AERA DIGITAL(アエラデジタル)
生殖補助医療が進んでいる。学生時代に精子バンクに精子を提供していたディラン・ストーン=ミラー(33/以下、敬称略)には、彼の精子で生まれた子どもが97人以上いるという。子どもがいることを知ってから…

精子提供者が問題になった一例です。

・氷山の一角であると思われます。

はじめての不妊治療 体外受精と検査 (実用No.1シリーズ) [ 森本義晴 ]

価格:1628円
(2024/5/5 17:33時点)
感想(1件)

現実の精子提供者🤮

4:25~娘が可愛くて仕方ないですね。→見たこともないですけど。🤮😱

11:43~精子提供によって自分の子どもが1000人いたらやめると思う。自分的なラインに到達していない😱🤮

I cited this information from youtube

4:58~いやー絶対面白いだろうなと思って。物は自分で歩きませんけど、人は自分で歩くじゃないですか🤮🤮🤮

I cited this information from youtube
I cited this image from youtube

困ってる女性を助けたい不妊で悩んでるカップル夫婦の力になれれば…と善意を出して精子提供活動をしているようですが、有償提供者、無償提供ボランティア含む精子提供者の中には、善意とは別の気持ちを抱きながら近づいてくる精子提供者も存在することを忘れてはなりません

【5回分プレゼント中】★ 【医師推奨】シリンジ法キット「プレメントシリンジ20回分」 妊活 タイミング法 日本製 不妊 妊娠 活動 精子 シリンジキット シリンジ セルフシリンジ法 男性 女性 妊活スタイル 妊活専門店

価格:8500円
(2024/5/5 17:34時点)
感想(1765件)

精子提供者の情報を子に開示

Yahoo!ニュース
Yahoo!ニュースは、新聞・通信社が配信するニュースのほか、映像、雑誌や個人の書き手が執筆する記事など多種多様なニュースを掲載しています。

💉❝新型コロナ『遺伝子/mRNA』ワクチン❞💉非接種者の精子価格高騰💰

検査キット 【公式】 精子 検査 キット 写真付き 精子検査キット プレグナクトEX (EXpress) 1回検査 不妊 男性不妊 チェック ブライダルチェッカー 濃度 精液検査 精子濃度 画像 写真 精子量 精液 測定 チェッカー 確認 ブライダル 簡単 お手軽 速達 精子検査 おうち 自宅

価格:5480円
(2024/5/3 12:38時点)
感想(16件)

ショウキT-1プラス3箱セット 妊活 お茶 ノンカフェイン おまけプレゼント 漢方 市販 ランキング 口コミ 不妊 お茶 赤ちゃん 母乳 飲み物 ショウキt1 妊婦 たんぽぽ茶 ショウキt-1 プラス ショウキt-1

価格:35550円
(2024/5/3 12:39時点)
感想(119件)

・💉❝新型コロナ『遺伝子/mRNA』ワクチン❞💉接種を受けてない精子に価値がある。(source15/21,000% Price Increase on Unvaccinated Sperm

https://sodomsun.com/21000-price-increase-on-unvaccinated-sperm/

・💉❝新型コロナ『遺伝子/mRNA』ワクチン❞💉未接種者の精子が400%上乗せのプレミア価格(source元を発見できませんでした)。

・Unvaccinated sperm commanding 400% price premium at sperm banks In an industry dominated by subjective preferences of female consumers, there is no price too high for the sperm of unvaccinated males.

【送料無料】 精子 検査キット プレグナクト 郵送検査 1回検査 精子チェッカー 精子 精液 濃度 不妊 精子濃度 精子測定 検査 キット チェック チェッカー 精子量 測定 検査キット 男性用 ブライダルチェック セルフ 妊活 男性 男 男性不妊 子づくり スマホ パソコン

価格:4380円
(2024/5/3 12:38時点)
感想(16件)

【5回分プレゼント中】★ 【医師推奨】シリンジ法キット「プレメントシリンジ20回分」 妊活 タイミング法 日本製 不妊 妊娠 活動 精子 シリンジキット シリンジ セルフシリンジ法 男性 女性 妊活スタイル 妊活専門店

価格:8500円
(2024/5/3 12:40時点)
感想(1762件)

スパイクタンパク質による精子への影響🥶

シリンジ法 キット meeta ミータ (10回分 日本製 医師監修) 家庭用 タイミング法 精子 妊活 妊娠 活動 不妊 シリンジキット

価格:6480円
(2024/5/5 17:34時点)
感想(749件)

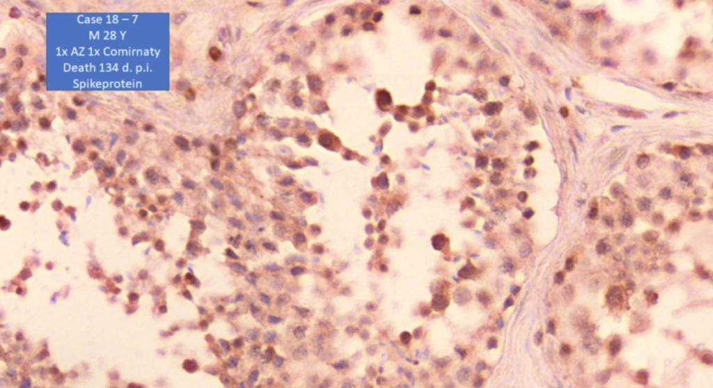
・高知大学の佐野特任教授らの研究グループが、接種後に皮膚症状が発現した患者の皮疹部を調べた結果、COVID-19のスパイクタンパク質が検出されたことから、副作用としてmRNAがコードするスパイクタンパク質が皮膚病態に関与している可能性を示唆しました(source16/Persistent varicella zoster virus infection following mRNA COVID-19 vaccination was associated with the presence of encoded spike protein in the lesion)。

Just a moment...

Previous study revealed that the most frequent skin reactions were COVID arm in women (38.1%) and varicella zoster virus (VZV) reactivation in men (20%).

I cited this information from Persistent varicella zoster virus infection following mRNA COVID‐19 vaccination was associated with the presence of encoded spike protein in the lesion

ヘルペスウイルスは神経節や脊髄神経性に潜伏し、精巣には存在しないと考えられていたのですが、精巣の中にもヘルペスウイルス由来のチミジンキナーゼ遺伝子を働かせる仕組みが備わっていることが判ったのです。さらに研究を続けると、この酵素遺伝子が精巣で発現しているラットは、生後3ヵ月くらいから精子に異常が出始め、段々精子を形成できなくなっていくことが判りました。

ヘルペスウイルス由来のチミジンキナーゼが精巣で発現しているケースがあることが判ってきました。

何らかの要因でヘルペスウイルスが精巣で発現したときに、精子形成に異常が起こると考えられます。

I cited this information from 不妊のメカニズムを解明する新たな研究

ヘルペスウイルスに感染したヒトの精巣では、HSV-TKの発現により精子形成に影響が出て男性不妊になる可能性が考えられる事になる。

I cited this information from ヒト男性不妊におけるヘルペスウイルス感染の解析

・ヘルペスウイルスによる不妊として、単純ヘルペスウイルスⅡ型の性器ヘルペスを思い浮かべる方がいると思いますが、口唇ヘルペスと同じ単純ヘルペスウイルスⅠ型で男性不妊になる可能性が示唆されてます。

・💉❝新型コロナ『遺伝子/mRNA』ワクチン❞💉接種者のワクチン後遺症例として、男性の水痘帯状疱疹ウイルスVZV再活性化は、男性不妊の原因となります。

💉❝新型コロナ『遺伝子/mRNA』ワクチン❞💉接種者の精子は危険🙅

【2回分プレゼント中】★ 【医師推奨】シリンジ法キット「プレメントシリンジ10回分」 妊活 タイミング法 日本製 不妊 妊娠 活動 精子 シリンジキット シリンジ セルフシリンジ法 男性 女性 妊活スタイル 妊活専門店

価格:4700円
(2024/5/5 17:35時点)
感想(319件)

・精子はウイルス由来のタンパク質(スパイクタンパク質)に置換される😱

・動画内でProfessor. DrArne Burkhart(ドイツの病理学者/アルネ・ブルクハルト教授)は、❝If I were a woman in fertile age, I would not plan a motherhood from a man who was vaccinated.❞と言っています。

・❝私が妊娠しやすい年齢の女性ならワクチン接種者の男性から母親になる計画はない❞と言っています。

Histopathological reevaluation serious adverse events and deaths following COVID-19 vaccination
Prof Arne Burkhardt - PANDEMIC STRATEGIES, LESSONS AND CONSEQUENCES, 21st- 22nd January 2023

アルネ・ブルクハルト教授(Prof. Dr. Arne Burkhardt)は、2023年6月に亡くなりました。

・Twitterで拡散された内容です(rumbleに投稿された内容と同じです)。

I cited this information from Twitter

シリンジ法 キット meeta ミータ (3回分 透明 日本製 医師監修) 家庭用 タイミング法 精子 妊活 妊娠 活動 不妊 シリンジキット

価格:3300円
(2024/5/5 17:35時点)
感想(580件)

スパイクタンパク質の標的は男性生殖器🥶

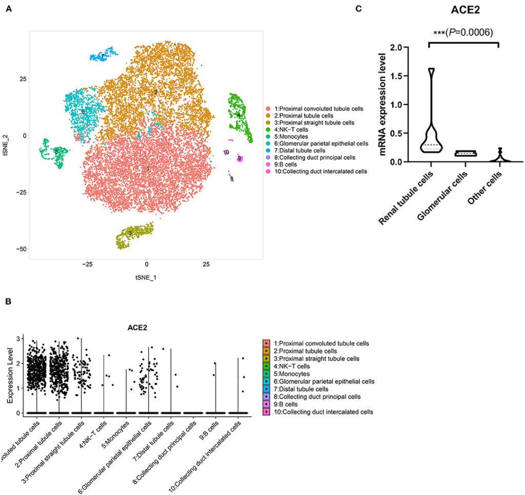
ACE2 Expresses Highly in Renal and Testicular Cells

As the virus frequently enters the cell by binding to cell receptors, and ACE2 has been proven to be one of the major receptors of SARS-Cov-2 in the human body, we explored the online datasets to find out the expression level of ACE2 in the urinary system. As we expected, data from the CCLE and GTEx portal indicated that the ACE2 mRNA expression level is relatively higher in kidney cells (Supplementary Figures 1A2).

To further determine the protein expression level of ACE2 in renal cells, we investigated the Human Protein Atlas portal to find out some details. Results of immunohistochemistry (IHC) also indicated that the expression level of ACE2 protein is significantly higher in the kidney, especially in renal tubular cells, although the mRNA expression level is not such high (Supplementary Figures 1B,C3 and Table 1).

In addition, we also found that ACE2 expresses quite highly in testicular cells. The protein and mRNA expression of ACE2 in the testes is almost the highest in the body. Moreover, both cells in seminiferous ducts and Leydig cells showed a high ACE2 expression level (Supplementary Figures 1B,D3 and Table 1). These results indicate that testicular cells are the potential targets of SARS-Cov-2.

I cited this information from ACE2 Expression in Kidney and Testis May Cause Kidney and Testis Infection in COVID-19 Patients

ACE2は腎臓と精巣細胞で高度発現

・ACE2がスパイクタンパク質と結合することは知られており、泌尿器系は予想通り高い発現を確認。

精巣細胞がスパイクタンパクの潜在的な標的となってることを示している

スパイクタンパク質による男性生殖器への悪影響🥶

【5回分プレゼント中】★ 【医師推奨】シリンジ法キット「プレメントシリンジ20回分」 妊活 タイミング法 日本製 不妊 妊娠 活動 精子 シリンジキット シリンジ セルフシリンジ法 男性 女性 妊活スタイル 妊活専門店

価格:8500円
(2024/5/5 17:35時点)
感想(1765件)

According to the existing clinical data, this virus not only causes respiratory diseases and affects the lungs but also induces histopathological or functional changes in various organs like the testis and also the male genital tract.

As the COVID-19 pandemic has affected the male genital system in direct or indirect ways and showed a negative impact on male reproduction, this paper focuses on the possible mechanisms underlying the damage caused by COVID-19 to the testis and also other components of the male genital tract.

The male genital system presents high ACE 2 expression therefore, it will be highly important to investigate and clarify the relationship between COVID-19 and the male genital tract.

I cited this information from The other side of COVID-19 pandemic: Effects on male fertility

精巣や男性の生殖器官に変化を起こし、男性生殖器官でACE2の発現が高いため男性生殖器官に対して悪影響を及ぼしている。

MIT/マサチューセッツ工科大学のセネフ博士による主張🫵

💉❝新型コロナ『遺伝子/mRNA』ワクチン❞💉接種によるスパイクタンパク質が永遠に細胞に取り込まれる危険があると述べてます(MIT/マサチューセッツ工科大学のセネフ博士)。

LINEs alone make up over 20% of the human genome. The most common LINE is LINE-1, which encodes a reverse transcriptase that regulates fundamental biological processes. LINE-1 is expressed in many cell types, but at especially high levels in sperm. Sperm cells can be used as vectors of both exogenous DNA and exogenous RNA molecules through sperm-mediated gene transfer assays. Sperm can reverse transcribe exogenous RNA directly into cDNA and can deliver plasmids packaging up this cDNA to the fertilized egg. These plasmids are able to propagate themselves within the developing embryo and to populate many tissues in the fetus. In fact, they survive into adulthood as extrachromosomal structures and are capable of being passed on to progeny. These plasmids are transcriptionally competent, meaning that they can be used to synthesize proteins encoded by the DNA they contain (Pittoggi et al., 2006). In addition to sperm, embryos also express reverse transcriptase prior to implantation, and its inhibition causes developmental arrest. LINE-1 is also expressed by cancer cells, and RNA interference-mediated silencing of human LINE-1 induces differentiation in many cancer cell lines. Reverse-transcriptase machinery is implicated in the genesis of new genetic information, both in cancer cells and in germ cells. Many tumor tissues have been found to express high levels of LINE-1, and to contain many extrachromosomal plasmids in their nucleus. Malignant gliomas are the primary tumors of the central nervous system. It has beenshown experimentally that these tumors release exosomes containing DNA, RNA and proteins, that end up in the general circulation (Vaidya and Sugaya, 2020). LINE-1 is also highly expressed in immune cells in several autoimmune diseases such as systemic lupus erythematosus, Sjögrens and psoriasis (Zhang et al., 2020).

I cited this information from Worse Than the Disease? Reviewing Some Possible Unintended Consequences of the mRNA Vaccines Against COVID-19

・ヒトゲノム中の主なLINE/長鎖散在反復配列(long interspersed nuclear element)のLINE-1は、あらゆる種類の細胞で発現、とくに精子細胞で顕著

・精子は外因性RNAをcDNAに逆転写できるので、このcDNA(complementary DNA/相補的DNA)を卵子の生殖細胞に移すことも可能。

・逆転写活性は胚、免疫細胞、がん細胞でも高度に発現している。

生殖細胞は子孫に受け継がれる

【5回分プレゼント中】★ 【医師推奨】シリンジ法キット「プレメントシリンジ20回分」 妊活 タイミング法 日本製 不妊 妊娠 活動 精子 シリンジキット シリンジ セルフシリンジ法 男性 女性 妊活スタイル 妊活専門店

価格:8500円
(2024/5/5 17:36時点)
感想(1765件)

新型コロナワクチン/mRNA型生物製剤mRNA vaccine遺伝子ワクチン)接種者の体内から、毒物であるウイルス由来のタンパク質(スパイクタンパク質)を完全に除去することはできません。

・体内からワクチン成分を取り除くことは不可能です。

新型コロナワクチン/mRNA型生物製剤mRNA vaccine遺伝子ワクチン)は、ウイルス由来のタンパク質スパイクタンパク質を自身の細胞で産生するわけですから感染時と同様の症状が出ても不思議はないのです

・mRNA(メッセンジャーRNA)ワクチン→ウイルス由来のタンパク質(遺伝子)を体内で産生→異物認識→免疫反応の異常を起こす→産生している細胞が自身の免疫によって攻撃される自己免疫疾患が起こる(細胞破壊)。

・自己免疫疾患は遺伝する可能性があります。

シリンジ法 キット meeta ミータ (10回分 日本製 医師監修) 家庭用 タイミング法 精子 妊活 妊娠 活動 不妊 シリンジキット

価格:6480円
(2024/5/5 17:35時点)
感想(749件)

精子への影響

2024/4/21に追加しました(It was last updated on April 21th,2024)。

精子は放出するたび「フレッシュ」ではない 世界中で「精子劣化」の現実 父の加齢が子に及ぼす影響

精子は放出するたび「フレッシュ」ではない 世界中で「精子劣化」の現実 父の加齢が子に及ぼす影響  | AERA DIGITAL(アエラデジタル)
生殖医療が発展し、精子凍結をする男性が増える一方で、精子の質が世界的に落ちている。父親の加齢により、精子の状態は落ちてしまう。生まれてくる子どものリスクを指摘する研究もある。

子どもを望む男性の4人に1人の「精液所見」が悪化 サ活にAGA、ブリーフも…精子の状態下げるNG行為とは

子どもを望む男性の4人に1人の「精液所見」が悪化 サ活にAGA、ブリーフも…精子の状態下げるNG行為とは | AERA DIGITAL(アエラデジタル)
精子凍結をする男性が増えている。一方で、男性たちの精子の質が世界的に落ちているという。精子凍結はリスクヘッジになるのか。

高齢不妊診療ハンドブック [ 森本 義晴 ]

価格:9350円
(2024/5/3 12:44時点)
感想(0件)

ホームページ内リンク

お問い合わせ/Contact

This is https://akazonae.jp/ social media.
I have an account
, but contact only.
Please do not hesitate to ask if you have any questions
.

"Contact Us"

・コンテンツまたはその一部を許可なく転載することを禁止(Reproducing all or any part of the contents is prohibited.)。

・許可なく写真(スクリーンショットを含む)の無断保存/転載することを禁止(Saving and reprinting photos {include screenshot} without my permission is prohibited.)。

Thank you very much for reading the through to the end.【最後までを読んでくれてありがとうございます。】

akazonae

◎詳細プロフィールは“About Me”参照!
■【For details, please “About me”】
☆168cm/63kg/筋肉質/太りにくい体質/B型/大学卒。
◆私は、【日本の精子提供者】【精子提供ドナー】【身元開示/オープンドナー/出自を知る権利対応】の1人として、子どもを望むすべての方へ精子提供活動している40代、日本国籍です。
♢先祖は戦国武将【武田信玄】の家臣【武田二十四将/武田四名臣】の一人です【証明資料有】!
★遺伝子検査→長寿家系/知能指数高めのタイプ(同じ遺伝子をもつ日本人4.6%)!!
○全国対応/英語対応、可能です!
▲”Available in English.”
●新型コロナワクチン/mRNA型生物製剤(mRNA vaccine=遺伝子ワクチン)非接種/unvaccinated.【証明可能】
※お問い合わせください。
□Please do not hesitate to ask if you have any questions.
♪人生はグラデーション/Life is gradation.

akazonaeをフォローする

コメント

error: Content is protected !!
タイトルとURLをコピーしました